Zakażenia pasożytnicze układu nerwowego mogą powodować różnorodne objawy i choroby. Ponieważ objawy zakażenia są często łagodne lub niespecyficzne, diagnoza może być trudna. Znajomość podstawowych cech epidemiologicznych może zwiększyć prawdopodobieństwo wykrycia i właściwego leczenia zakażenia pasożytniczego układu nerwowego. W tym artykule przedstawiamy najczęściej występujące zakażenia wywołane przez tasiemce, przywry i pierwotniaki. Tasiemce i przywry to płazińce, gromada charakteryzująca się (z jednym wyjątkiem) niezdolnością do życia poza żywicielem. Pasożytnicze zakażenia układu nerwowego występują na całym świecie, a szczególnie łatwo zarazić się nimi podczas egzotycznych podróży! Tasiemce mogą występować w postaci dorosłej lub larwalnej. Strukturalnie tasiemce to wstęgowate, segmentowane robaki ze skoleksem w przedniej części, służącym do przyczepiania się do żywiciela. Neurocysticerkoza wywoływana przez tasiemca Taenia solium, jest prawdopodobnie najczęstszą przyczyną padaczki na świecie! Natomiast przywry mogą atakować układ nerwowy wtórnie po zakażeniu krwi, wątroby, jelit lub płuc. Większość gatunków jest zdolna do rozmnażania i przetrwania w żywicielu. Spektrum objawów klinicznych i oznak zakażenia pierwotniakami jest zróżnicowane, a zakażenie układu nerwowego może wystąpić bez udziału innych układów. Leczenie tych zakażeń jest bardzo zróżnicowane, od leczenia objawowego po ekstrakcję chirurgiczną. W tym artykule podpowiemy co warto wiedzieć oraz na co uważać!
Glista ludzka
Glista ludzka to robak o długości do 25 cm, pasożytujący w jelicie cienkim człowieka. Produkty wydalane przez glisty powodują zatrucie organizmu i mogą wywołać reakcje alergiczne. Człowiek zakaża się przez spożycie pokarmów zanieczyszczonych jajami. Jaja pasożyta znajdują się zwykle w kale innego żywiciela, a są przenoszone przez wiatr, owady i człowieka na rożne produkty spożywcze, przedmioty codziennego użytku. Mogą znajdować się w powietrzu i przemieszczać się wraz z kurzem. Z jaj wykluwają się larwy, które przedostają się przez ściankę jelita i docierają do wnętrza naczyń krwionośnych. Wraz z krwią docierają do płuc, wątroby, serca, mózgu lub innych narządów. Larwy podczas wędrówki w oskrzelach wywołują uporczywy suchy kaszel, często mylony z astmą lub alergią. Odkrztuszona wydzielina wraz z larwami jest połykana. W ten sposób pasożyty trafiają znowu do jelita. Tam osiągają dojrzałość płciową i żyją do 2 lat. Samica glisty składa do 200 tysięcy jaj na dobę. Najczęstsze objawy wynikające z obecności glist to: bóle brzucha, niestrawność, mdłości, wymioty, biegunki lub zaparcia, zaburzenia łaknienia, wysypki, świąd skory, bóle głowy, rozdrażnienie, padaczka (larwy usadowione w mózgu), uporczywy kaszel, duszność, plwocina podbarwiona krwią. Duża liczba glist może doprowadzić do niedrożności jelita, przewodów żółciowych lub trzustkowych, co zwykle wymaga interwencji chirurgicznej. W układzie pokarmowym można przenosić do kilku kilogramów glist.

Glista odzwierzęca, psia lub kocia
Dojrzałe glisty bytujące w jelitach zwierząt wytwarzają jaja, które wydalane są do środowiska wraz z odchodami, zanieczyszczając glebę, wodę oraz produkty spożywcze. Źródłem zakażenia mogą być niemyte owoce lub warzywa, na których znajdują się jaja przeniesione przez owady. Glisty psie i kocie nie przebywają w przewodzie pokarmowym człowieka, dlatego nie można ich wykryć badaniem kału. Toksokaroza w większości przypadków przebiega w sposób bezobjawowy. Jedynym wskaźnikiem zakażenia jest eozynofilia (wzrost ilości kwasochłonnych białych krwinek, które posiadają zdolność zabijania pasożytów tkankowych). Objawy chorobowe w toksokarozie zależą od stopnia inwazji oraz umiejscowienia larw w organizmie. Postać oczna – zaburzenia widzenia, utrata wzroku Postać mózgowa – bóle głowy, drgawki, zapalenie mózgu, drażliwość Postać płucna – duszność, suchy kaszel Postać uogólniona – osłabienie, gorączka, nudności, bóle brzucha, powiększenie wątroby.
Lamblia
Lamblia jest pierwotniakiem. Rozmnaża się bezpłciowo przez podział podłużny. Występuje u ludzi, psów, kotów i innych ssaków w jelicie cienkim, dwunastnicy, przewodach żółciowych i trzustkowych. Źródłem zakażenia może być człowiek lub zwierzęta. Zarażenie lambliami odbywa się poprzez spożycie zanieczyszczonych cystami owoców, jagód, warzyw, wody jak również przez zainfekowane ręce i przedmioty. Cysty lamblii mogą być roznoszone także przez owady i małe gryzonie. Cysty są bardzo odporne na warunki środowiskowe. W wodzie z rzek i jezior przeżywają do kilku miesięcy, odporne są również na chlor. Najczęstszym objawem są bóle brzucha podobne do bólów wrzodowych, a także biegunki, niedożywienie, anemie, bóle głowy i mięśni, drażliwość, zapalenie pęcherzyka żółciowego i wątroby.
Owsik ludzki
Owsik to mały robak o długości 5-10 mm, żyjący w jelicie grubym człowieka. Zakażenie następuje przez połknięcie jaj owsika. Drapanie okolicy odbytu powoduje, że jaja owsika dostają się pod paznokcie lub przyklejają się do skory rąk. W ten sposób mogą zostać przeniesione bezpośrednio do ust, na produkty spożywcze oraz przedmioty codziennego użytku, bieliznę, pościel, toaletę, itp. Owsicą można się też zarazić przez wdychanie jaj owsika rozpylanych z kurzem i będących w powietrzu na niskiej wysokości. W jelicie człowieka z jaj wylęgają się larwy, które po 2-4 tygodniach przekształcają się w dojrzałe owsiki. Samica owsika składa w fałdach odbytu jaja, które po 8 godzinach są już zdolne do zakażenia kolejnego żywiciela. Najczęstsze objawy to: bóle brzucha, nudności, nadpobudliwość, rozdrażnienie, zaburzenia snu, swędzenie okolic odbytu, stany zapalne sromu, wysypki, zaburzenia wypróżniania oraz moczenie nocne.

Choroba bąblowa
Najczęstszymi gatunkami Echinococcus powodującymi zakażenia u ludzi są E. granulosis i E. multilocularis. E. granulosis powoduje chorobę bąblowca torbielowatego i jest endemiczna w basenie Morza Śródziemnego, na Bliskim Wschodzie i w Ameryce Łacińskiej, natomiast E. multilocularis powoduje chorobę bąblowca pęcherzykowego i jest endemiczna na Alasce, w Europie Środkowej, Turcji i Chinach. Żywicielami ostatecznymi są lisy arktyczne i rude, ale zakażeniu mogą ulec również psy i koty domowe. Po spożyciu przez zwierzę pasożyt szybko przemieszcza się z jelita cienkiego do wątroby, a następnie przez naczynia krwionośne lub limfatyczne do płuc, mózgu, kręgów, osierdzia, nerek lub tkanki okołooczodołowej. Człowiek i owce są żywicielami pośrednimi i zarażają się, połykając jaja wydalane przez zarażone zwierzęta. Większość zakażeń powoduje powstawanie pojedynczych torbieli bąblowca w wątrobie. Zakażenie bąblowcem często pozostaje niewykryte, dopóki powiększenie się torbieli nie wywoła objawów. W miarę wzrostu ciśnienia wewnątrzczaszkowego początkowym subtelnym objawom klinicznym, takim jak ból głowy, towarzyszą także nudności, wymioty i drgawki.1

Torbiel u 29-letniego mężczyzny zakażonego Echinococcus
Sparganoza
Sparganoza to infekcja wywoływana przez larwalną formę tasiemca z rodzaju Spirometra. Spirometra to pasożyty rybożernych kotów, psów i ptaków, a infekcja u ludzi zwykle jest wynikiem zjedzenia niedogotowanej ryby, zakażonego surowego węża, żaby lub świni. Cykl życiowy Spirometra obejmuje kilku różnych żywicieli; żywicielami ostatecznymi są psy, koty i dzikie zwierzęta, natomiast ludzie są tylko żywicielami przypadkowymi. U pacjentów początkowo rozwija się dyskretny guzek podskórny, który migruje w ciągu dni lub miesięcy. Podobnie jak w przypadku wielu innych zakażeń pasożytniczych, u większości pacjentów występują drgawki, niedowład połowiczy i ból głowy. Zajęcie narządu wzroku w przebiegu sparganozy może powodować znaczny ból i podrażnienie tkanki spojówki, a także może zaatakować tkanki okołooczodołowe, powodując wytrzeszcz i ślepotę. Niedojrzałe Spirometra bytują w jelicie żywiciela, a jaja wydalane z kałem wykluwają się później w wodzie i są spożywane przez małe skorupiaki wodne. Kiedy skorupiaki zostaną zjedzone przez żywiciela pośredniego, larwy wnikają do przewodu pokarmowego i rozprzestrzeniają się w tkankach i mięśniach. Dorosłe robaki mogą przeżyć do 30 lat.

Zakażenia najczęściej występują w Azji, a konkretniej w Korei oraz Japonii, głównie z powodu tamtejszych zwyczajów żywieniowych. Choć równie często zdarzają się u dzikich zwierząt mięsożernych na przykład dzików.
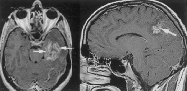
Przywra płucna
Paragonimus spp. to jedyna ssakowa przywra płucna, która może zarażać ludzi. Szacuje się, że na świecie zarażonych jest 20 milionów ludzi, z czego 10 milionów w samych Chinach. Zakażenie u ludzi jest najczęściej spowodowane spożyciem słodkowodnego kraba lub raka. W pełni ugotowane kraby i raki nie przenoszą zakażenia, ale wiele regionalnych potraw wykorzystuje kiszenie lub marynowanie zamiast gotowania, a to potencjalnie może już być źródłem zakażenia. Udomowione koty, psy, dziki i świnie również mogą być nosicielami. W ciągu 2 do 8 tygodni larwy migrują przez ścianę jelita i otrzewną, aby zaatakować miąższ płuc. Larwy pozostają w płucach do momentu osiągnięcia dojrzałości, po czym migracja powraca. W każdej fazie choroby często występują migrujące masy podskórne, które zawierają niedojrzałe robaki i najczęściej lokalizują się w dolnej części brzucha. W ciągu 4 do 6 miesięcy od zakażenia rozwijają się objawy płucne, od łagodnego kaszlu do piorunującej duszności lub krwioplucia.

Dwóch różnych pacjentów z mózgowym zakażeniem przywrami
Trypanosomoza amerykańska (choroba Chagasa)
Trypanosoma cruzi jest gatunkiem endemicznym dla większości krajów Ameryki Południowej i Środkowej. Zakażenie najczęściej następuje w wyniku ukąszenia przez pluskwę reduviidae. Wraz ze wzrostem urbanizacji i emigracji, zakażenia rozprzestrzeniły się poza wiejską Amerykę Łacińską aż do Stanów Zjednoczonych i innych części świata. Pluskwa reduviidae zazwyczaj zamieszkuje wilgotne obszary, ale przystosowała się już do przetrwania w środowisku miejskim. Podczas pobierania krwi od potencjalnego żywiciela, pozostawia na skórze lub błonach śluzowych odchody zawierające jaja, które chwilę później są wprowadzane do ludzkiego żywiciela przez uszkodzoną skórę wywołaną swędzeniem wokół miejsca ukąszenia owada. Po dostaniu się do żywiciela larwy dojrzewają i dzielą się poprzez podział binarny. Komórki te są wydalane do krwiobiegu i podróżują do odległych miejsc, gdzie stają się organizmami wewnątrzkomórkowymi i dojrzewają do postaci dorosłych.

Cichy zabójca – pluskwa reduviidae, spotkanie z nią może być dla nas tragiczne w skutkach
Objawy najczęściej obejmują złe samopoczucie, bóle mięśni, ból głowy, osłabienie i anoreksję. U większości pacjentów objawy te ustępują po kilku tygodniach. Natomiast Objaw Romañy (jednostronny lub obustronny obrzęk powiek) jest charakterystyczny dla choroby Chagasa i stanowi reakcję uczuleniową na ukąszenie zakażonego owada. Niewydolność serca i zajęcie jelit są głównymi przyczynami zachorowalności i śmiertelności. W Brazylii choroba Chagasa jest główną przyczyną niewydolności serca u mężczyzn poniżej 40 roku życia. Najczęstszym objawem ośrodkowego układu nerwowego przewlekłego zakażenia jest zapalenie opon mózgowo-rdzeniowych.
Pierwotne amebowe zapalenie opon mózgowo-rdzeniowych
Naegleria fowlerii przyczyna pierwotnego zapalenia opon mózgowo-rdzeniowych (PAM), występuje na całym świecie. Większość zakażeń występuje u dzieci i młodych dorosłych, którzy bawią się lub nurkują w zbiornikach ze stojącą wodą słodką w ciepłych miesiącach letnich. Na całym świecie odnotowano mniej niż 100 zakażeń. Zakażenia prawie zawsze kończyły się śmiercią w ciągu 72 godzin od wystąpienia objawów. Jednak wczesne rozpoznanie zakażenia pozwoliło na skuteczne wyleczenie kilku pacjentów. N. fowlerii początkowo dostaje się do organizmu człowieka przez nos i eroduje przez blaszkę sitową, aby uzyskać dostęp do ośrodkowego układu nerwowego. Po przeniknięciu opon mózgowych infekcja lokalizuje się początkowo w cebulkach węchowych. Inwazja przestrzeni podpajęczynówkowej i rozsiew śródmózgowy zwykle następuje w ciągu kilku godzin. Wczesne objawy obejmują silny, pulsujący ból głowy, gorączkę, nudności i wymioty. U niektórych pacjentów pojawiły się także mają drgawki i śpiączka. Bardzo niewiele osób przeżyło PAM i nie istnieje żadne standardowe leczenie.
Żywe pasożyty znalezione w centralnym układzie nerwowym pacjentów z SM w chwili śmierci
Po raz pierwszy patolog takiego odkrycia dokonał dr Alan MacDonald, który zauważył, małe pasożytnicze nicienie, larwy tasiemca oraz rozwijające się młode tasiemce w ośrodkowym układzie nerwowym pacjentów chorych na SM w chwili ich śmierci. Stwardnienie rozsiane jest pasożytniczą chorobą – odkryto nicienie, jaja, formy larwalne i pary dorosłych osobników w płynie rdzeniowym pacjentów, których dotknęła ta choroba. Te małe pasożytnicze nicienie wywołują stany zapalne i uszkodzenia ośrodkowego układu nerwowego (OUN). Co ciekawe, od ponad 100 lat weterynarze wiedzą, że gdy te małe robaki atakują ośrodkowy układ nerwowy zwierząt domowych, zwierzęta te rozwijają objawy identyczne z objawami stwardnienia rozsianego, czyli zmęczenie, drętwienia, osłabienia kończyn, zaburzenia równowagi, spastyczności, opadające stopy oraz paraliż i ślepota. Szokujące jest to, że nikt nie kwestionował, czy te robaki mogą być obecne u ludzi, gdy powodują objawy SM u psów, kotów, owiec, koni i bydła. Dr Alan MacDonald był pierwszym, który to odkrył. Znalezienie żywych pasożytów w ośrodkowym układzie nerwowym pacjentów z SM w momencie śmierci jest bardzo istotnym odkryciem, któremu nie poświęca się wystarczająco dużo uwagi.2
„Dr Alan McDonald jest patologiem z Florydy, który wykonał niesamowitą pracę, wykazując związek między pasożytami a stwardnieniem rozsianym, chorobą Parkinsona, chorobą Alzheimera i innymi schorzeniami neurologicznymi.”
dr Lee Merritt
Pam Bartha
Zdiagnozowana klinicznie jako stwardnienie rozsiane w wieku 28 lat, Pam wybrała alternatywne podejście do powrotu do zdrowia. Teraz, dekady później, nadal nie odczuwa żadnych objawów, a dodatkowo uczy innych, jak leczyć przyczynę tej przewlekłej choroby, stosując holistyczne podejście. Pam jest autorką Become a Wellness Champion i założycielką Live Disease Free. Jest ekspertką od dobrego samopoczucia, trenerką i mówczynią.
KLIKNIJ TUTAJ, aby obejrzeć szkolenie mistrzowskie Pam
Możesz też wykonać quiz, aby sprawdzić, czy możesz mieć infekcje pasożytnicze
Inne choroby wywoływane przez zakażenia pasożytnicze
Neurocysticerkoza (wągrzyca)
- Neurocysticerkoza jest wywoływana przez larwę tasiemca świńskiego (Taenia solium )
- Mianem cystycerkozy określa się każdą chorobę wywoływaną przez tasiemca Taenia solium .
- Neurocysticerkoza to podgrupa pacjentów chorych na cysticerkozę, u których pasożyty atakują ośrodkowy układ nerwowy.3

Neurocysticerkoza może dotyczyć około 15% osób w regionach endemicznych (np. Ameryka Środkowa, Ameryka Południowa, Afryka Subsaharyjska, części Azji Południowej i Wschodniej). Na całym świecie cysticerkoza jest najczęstszą infekcją pasożytniczą ośrodkowego układu nerwowego. Objawy, które najczęściej występują: napady padaczkowe, epilepsja oraz drgawki. Często pojawia się także wodogłowie i duże torbiele z otaczającym je obrzękiem mogą powodować ból głowy.
Toksoplazmoza
Toksoplazmoza to choroba, która dotyka około połowę populacji świata – zwykle z minimalnymi objawami. Chorobę można nabyć poprzez: kocią kuwetę, skażoną glebę lub surowe mięso . Zakażenie toksoplazmozą to jedno z najczęstszych zakażeń pasożytniczych. Po pierwotnym zakażeniu następuje utajone zakażenie, które może prowadzić do późniejszej reaktywacji.
Zapalenie mózgu może wystąpić u pacjentów z obniżoną odpornością:
- Głównym czynnikiem ryzyka jest HIV. Toksoplazmoza jest najczęstszą oportunistyczną infekcją ośrodkowego układu nerwowego u pacjentów z AIDS
- Transplantacja
- Leki steroidowe lub cytotoksyczne
Objawy kliniczne zapalenia mózgu wywołanego toksoplazmozą to między innymi bóle głowy i gorączka, ale także zaburzenia ruchu, podostry postępujący stan splątania, niedowład połowiczy. Toksoplazmoza siatkówki może powodować upośledzenie wzroku.
Choroba Creutzfeldta-Jakoba (CJD)
Choroba Creutzfeldta-Jacoba (CJD) jest rzadko występującą, ale śmiertelną chorobą ośrodkowego układu nerwowego, najczęściej występuje pomiędzy 50, a 70 rokiem życia.4 Najczęstszymi objawami choroby są głównie zaburzenia neurologiczne, w tym zaburzenia snu, zmiany osobowości, osłabienie, drgawki, utrata wzroku, utrata zdolności używania mowy i pisma lub rozumienia, a także postępująca demencja. Proces chorobowy kończy się zgonem, który następuje najczęściej w przeciągu 1-2 lat od wystąpienia objawów. U około 5% choroba przybiera długi, powolny przebieg.

Dr Merritt ukończyła rezydenturę z chirurgii ortopedycznej w United States Navy i służyła przez ponad 10 lat jako lekarz i chirurg marynarki wojennej. W 1989 roku była jedyną kobietą mianowaną na stanowisko Louis A. Goldstein Fellow of Spinal Surgery w University of Rochester, Strong Memorial Hospital. Dr Merritt prowadziła prywatną praktykę chirurgii ortopedycznej i kręgosłupa w latach 1992–2021, zasiadała w zarządzie Arizona Medical Association oraz była prezeską Association of American Physicians and Surgeons. 5
Zakażenia pasożytnicze OUN, wcześniej ograniczone głównie do osób żyjących w krajach rozwijających się, stają się coraz bardziej powszechne na całym świecie. Wraz z nadejściem coraz większej liczby podróży globalnych, silniejszej immunosupresji i zakażenia wirusem HIV, zakażenia pasożytnicze prawdopodobnie staną się jeszcze bardziej powszechne. Podstawowa znajomość powszechnych patogenów może sprawić, że diagnoza będzie szybsza i skuteczniejsza.
Zdjęcia:
Pexels.com
Bibliografia:




















